Fractures and Trauma

Fracture 1

Foot Fractures and Trauma Treatment in San Francisco, CA

A fracture refers to a break or crack in a bone. In the context of the foot and ankle, fractures can occur due to various factors such as accidents, falls, sports injuries, or even from overuse. These injuries can range from minor fractures to complex traumas.

Get back on your feet with Foot Fractures and Trauma Treatment by Dr. Rohan Thamby, DPM in San Francisco, CA. Trust our expert care for a faster recovery. Schedule your consultation today.

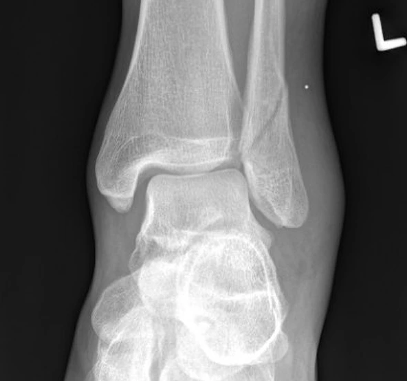
Ankle Fractures

Ankle fractures are often the result of twisting injuries or high-impact trauma. They can involve the tibia, fibula, or both, and may require surgical intervention for proper alignment and healing.

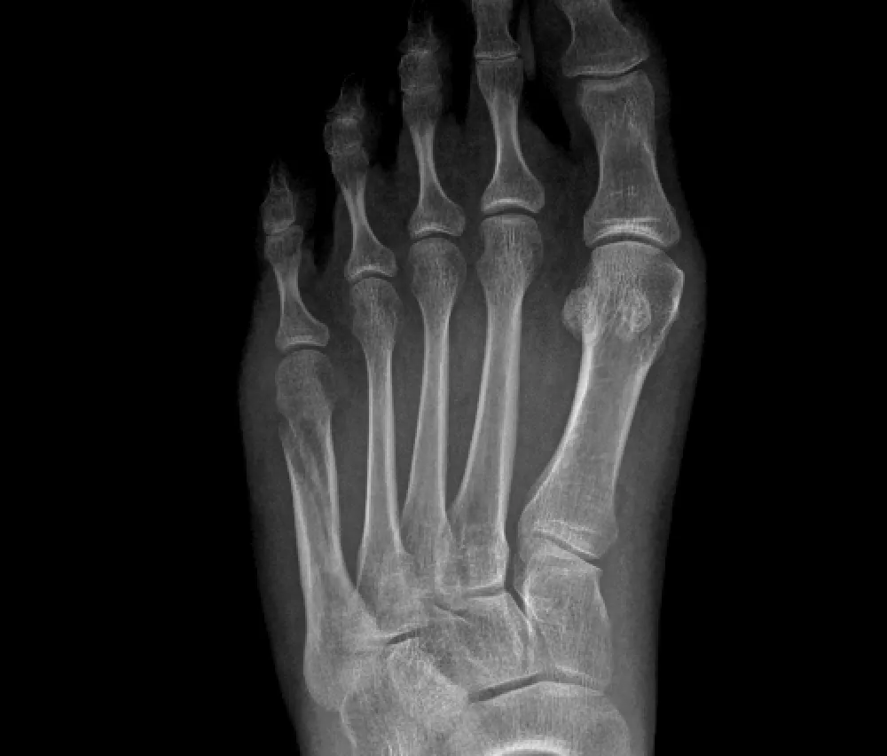
Metatarsal Fractures

These fractures affect the long bones of the foot, known as metatarsals. They can result from direct trauma or excessive pressure, such as dropping a heavy object on the foot.

Calcaneus (Heel Bone) Fractures

Calcaneus fractures are typically associated with high-energy impacts, like falls from heights. These fractures can be particularly challenging to manage and may require specialized care.

Stress Fractures: A Different Kind of Fracture

Stress fractures are small cracks in the bone that occur from repetitive stress or overuse. They are common among athletes, particularly runners and dancers, due to the constant strain placed on their feet and ankles.

Dislocations: Joint Misalignment

A dislocation happens when the bones in a joint are forced out of their normal positions. While dislocations are less common in the foot and ankle compared to other joints, they can still occur and may require immediate medical attention to reduce the dislocated joint and prevent further damage.

Sprains: Ligament Injuries

A sprain is an injury to the ligaments, which are the tough, fibrous tissues that connect bones in a joint. Ankle sprains are among the most common injuries and can range from mild to severe, depending on the extent of ligament damage.

The Importance of Prompt Treatment

Whether you’re dealing with fractures, stress fractures, dislocations, or sprains, seeking prompt medical attention is crucial. Early diagnosis and appropriate treatment can significantly impact the healing process and reduce the risk of long-term complications.

If you suspect a foot or ankle injury, consult with a healthcare professional or specialist like Dr. Rohan Thamby, who specializes in foot and ankle care. Timely intervention can help you recover faster and regain your mobility and quality of life.

Foot Fractures and Trauma Treatment in San Francisco, CA
Scroll to Top